Table of Contents
Overview
Encephalitis is an acute inflammation of the brain parenchyma, most commonly due to viral infections like Herpes Simplex Virus (HSV). It presents with features of systemic infection alongside altered mental state, seizures, and signs of cerebral dysfunction. Viral CNS infections are medical emergencies with a high mortality rates if untreated. Early recognition, empiric treatment (e.g. with acyclovir), and neuroimaging are essential for patient survival and prevention of long-term neurological deficits.
Definition
Acute inflammation of the brain parenchyma, most often due to viral infection, leading to cerebral oedema, raised ICP, and neurological dysfunction.
Aetiology
Viral (most common)
- Herpes Simplex Virus (HSV) – Most common
- Varicella-Zoster Virus (VZV)
- Cytomegalovirus (CMV)
- Poliovirus
- Rabies virus (Rhabdovirus)
- Japanese Encephalitis Virus (JEV)
Parasitic
Fungal
- Cryptococcus neoformans
Bacterial
- Treponema pallidum (syphilitic encephalitis)
Pathophysiology
- Haematogenous spread (viraemia) → Virus crosses blood-brain barrier
- Infects brain parenchyma → Diffuse inflammation and oedema
- ↑Intracranial pressure → Seizures, altered consciousness, possible herniation
Clinical Features
- Infective Symptoms:
- Fever
- Nausea and vomiting
- Cerebral (Encephalopathic) Symptoms:
- Altered mental state / confusion
- Behavioural changes
- Drowsiness or decreased consciousness
- Seizures (common)
- Focal neurological signs
Investigations
Bloods
- Full Blood Count: Lymphocytosis
Lumbar Puncture (CSF Findings)
| Feature | Encephalitis (Viral) |
|---|---|
| CSF Pressure | Markedly raised |
| WCC | Raised (Lymphocytes) |
| Glucose | Normal |
| Protein | Raised |
| Gram Stain | None (viral = aseptic) |


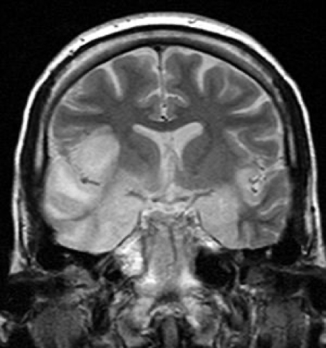
MRI Brain
- High signal intensity in the temporal lobes and inferior frontal gyrus (classic for HSV encephalitis)


Management
- Treat on clinical suspicion – DO NOT delay
- Start empiric IV Acyclovir
- Add IV Dexamethasone to reduce cerebral oedema
- Supportive care
- Seizure management
- ICP monitoring if required
Prognosis
- High mortality if untreated (~70%)
- Even with treatment, risk of:
- Long-term neurological deficit
- Epilepsy
- Memory impairment
Differential Diagnosis
- Meningitis
- Brain abscess
- Stroke
- Sepsis with delirium
- Autoimmune encephalitis
Novel Organisms & Special Types
Rabies
- Organism: Rhabdovirus
- Transmission: Animal bite → virus in saliva
- Hosts: Bats, dogs, foxes
Japanese Encephalitis (Flavivirus group)
- Endemic in Asia
- Vaccine available
- Other flavivirus causes:
- Kunjin virus
- West Nile virus
- Murray Valley encephalitis
- St Louis encephalitis
Togavirus
- Found in the Americas (Eastern & Western equine encephalitis)
- Primarily animal infections
- Vaccines available for animals, not humans
Summary
Encephalitis is a severe neurological condition marked by inflammation of the brain due to viral or other infectious agents. It presents with fever, altered consciousness, and seizures. Early treatment with acyclovir and corticosteroids is vital. MRI and CSF analysis are diagnostic cornerstones. For a broader context, see our Nervous System Overview page.