Table of Contents
Overview – Haemochromatosis
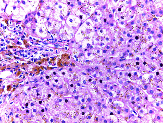
Haemochromatosis is a condition characterised by excessive iron accumulation in the body, leading to progressive organ damage. It may be inherited (due to mutations in the HFE gene) or acquired (usually from multiple blood transfusions). Iron deposition affects the liver, pancreas, heart, skin, joints, and endocrine glands, often resulting in cirrhosis, diabetes, hypogonadism, and bronzed skin. Early diagnosis and treatment can prevent irreversible damage and reduce morbidity.
Definition
- A systemic disorder of iron overload.
- Caused by either genetic mutations or secondary factors (e.g. transfusions).
- Leads to iron accumulation in parenchymal tissues.
Aetiology
Primary (Hereditary)
- Autosomal recessive mutation in the HFE gene
- Most common: C282Y homozygosity
- Leads to ↑ intestinal iron absorption
Secondary
- Repeated blood transfusions
- Chronic haemolytic anaemias
- Excessive iron supplementation or dietary intake


Pathophysiology
- Excess iron bypasses normal regulation and deposits in multiple tissues.
- Iron catalyses formation of free radicals → oxidative tissue damage
- Affects:
- Liver → fibrosis → cirrhosis
- Pancreas → islet cell destruction → diabetes
- Heart → restrictive cardiomyopathy
- Pituitary gland → hypogonadism
- Skin → melanin & iron → bronze pigmentation
- Joints → chondrocalcinosis, arthropathy
Clinical Features
Early Symptoms
- Often asymptomatic initially
- Non-specific features:
- Fatigue
- Arthralgia (esp. hands)
- Loss of libido
Late Features
- Skin bronzing (“bronze diabetes”)
- Abdominal pain
- Hepatomegaly, cirrhosis
- Diabetes mellitus
- Hypogonadism
- Cardiac symptoms (palpitations, dyspnoea)
Investigations
Blood Tests
- ↑ Serum iron
- ↑ Ferritin
- ↑ Transferrin saturation
- ↓ TIBC (Total Iron Binding Capacity)
- Liver function tests (↑ ALT, AST if cirrhosis)
Genetic Testing
- HFE mutation testing (C282Y, H63D variants)
Imaging and Further Testing
- Liver ultrasound / Fibroscan
- Liver biopsy (rarely needed now; used to confirm iron overload)
- Echocardiogram (if cardiac involvement)


Management
- Venesection (phlebotomy):
- 1 unit weekly initially, then maintenance
- Removes excess iron by inducing iron demand for erythropoiesis
- Low-iron diet:
- Avoid red meat, alcohol, vitamin C supplements
- Monitor serum ferritin & transferrin saturation
- Chelation therapy (e.g. deferoxamine): rarely used in hereditary forms
- Monitor for complications: liver cancer, diabetes, heart failure
Summary – Haemochromatosis
Haemochromatosis is a systemic iron overload disorder caused by hereditary mutations or chronic transfusions. Iron accumulates in organs like the liver, pancreas, heart, and pituitary, leading to multisystem disease. Diagnosis is based on iron studies and HFE gene testing. Management includes venesection and avoiding iron-rich foods. For a broader context, see our Blood & Haematology Overview page.