Table of Contents
Overview – Post-Strep Glomerulonephritis
Post-strep glomerulonephritis (PSGN) is the most common cause of nephritic syndrome in children aged 3–15 years. It typically follows a group A β-haemolytic streptococcal infection, such as pharyngitis or impetigo, and presents with a classic triad of haematuria, oedema, and hypertension. PSGN results from immune complex deposition in the glomeruli, triggering inflammation and glomerular cell proliferation. Prompt recognition and supportive management lead to excellent recovery in most paediatric cases.
Definition
- PSGN is an immune-mediated glomerulonephritis that develops following a group A streptococcal infection.
- It is a prototypical cause of nephritic syndrome in children.
Aetiology
- Triggered by prior group A β-haemolytic streptococcal (GAS) infection
- Most commonly post-pharyngitis or impetigo
- Antigen–antibody complex formation and deposition in glomeruli
Pathophysiology
- Streptococcal antigens (e.g. exotoxin B, GAPDH) form circulating immune complexes
- These deposit in glomerular basement membrane → activate complement
- Leads to:
- Glomerular cell proliferation
- Neutrophilic infiltration
- Inflammatory damage to glomeruli
- Results in capillary obstruction, reduced GFR, and haematuria
Clinical Features
- Usually presents 1–2 weeks post-strep throat or ~6 weeks post-impetigo
- Nephritic syndrome features:
- Oliguria
- Painless, dark (“smoky”) haematuria
- Non-selective proteinuria
- Generalised oedema (esp. periorbital)
- Hypertension
- Systemic symptoms:
- Low-grade fever
- Lethargy
Investigations
- Urinalysis:
- Proteinuria, haematuria
- Red blood cell casts
- Serological tests:
- Elevated anti-streptolysin O (ASO) titre
- Anti-DNase B antibodies
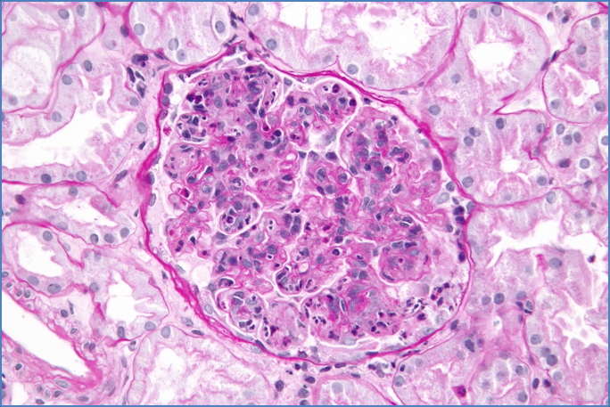
- Renal biopsy (if atypical or in adults):
- Glomerular hypercellularity with neutrophilic infiltrate
- Subepithelial immune complex deposits (often “hump”-shaped on EM)


Management
- Supportive care is first-line:
- Sodium and fluid restriction
- Antihypertensives if needed
- Diuretics for oedema
- Antibiotics (if active infection is still present)
- Renal replacement therapy (rarely required in children)
Complications
- Children: Excellent prognosis, self-limiting in most cases
- Adults: May progress to chronic kidney disease
- Rarely: acute kidney injury, hypertensive encephalopathy
Differential Diagnosis
- IgA nephropathy
- Lupus nephritis
- Membranoproliferative glomerulonephritis
- Rapidly progressive glomerulonephritis
- Henoch-Schönlein purpura (IgA vasculitis)
Summary – Post-Strep Glomerulonephritis
Post-strep glomerulonephritis (PSGN) is a classic immune-mediated nephritic syndrome affecting children, usually following streptococcal throat or skin infections. It presents with haematuria, hypertension, and oedema, and typically has a favourable prognosis with supportive care. For a broader context, see our Renal Overview page.