Table of Contents
Overview – Focal Segmental Glomerulosclerosis
Focal Segmental Glomerulosclerosis (FSGS) is a histological pattern of glomerular injury and a significant cause of adult nephrotic syndrome. It is defined by sclerosis affecting portions (segmental) of some (focal) glomeruli. It shares features with Minimal Change Disease but generally has a poorer prognosis and is more common in adults.
Definition
FSGS is a chronic glomerular condition characterised by:
- Segmental areas of sclerosis in a subset of glomeruli
- Associated nephrotic syndrome
- Often progressive, especially without prompt intervention
Aetiology
- Idiopathic (primary) – most common
- Secondary causes:
- Infections: HIV
- Substances: Heroin use
- Haematological: Sickle cell disease
- Risk Factors:
- Black, African, or Latin American descent
- Morbid obesity
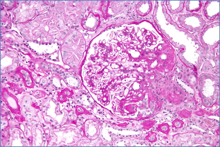
Pathophysiology
- Glomerular damage affects some glomeruli (focal) and only segments of those glomeruli (segmental)
- Damaged podocyte foot processes → loss of filtration barrier
- Plasma proteins and lipids leak into the glomerulus → proteinuria
- Entrapped proteins and lipids → hyalinosis (glassy-appearing deposits)
- Chronic injury → glomerulosclerosis (scarring)

Nephron, CC BY-SA 3.0 <https://creativecommons.org/licenses/by-sa/3.0>, via Wikimedia Commons
Clinical Features
- Most common in adults under 50
- Can be non-responsive to steroids
- Presents with classic nephrotic syndrome:
- +++ Proteinuria
- Hypoalbuminaemia
- Generalised oedema
- Hyperlipidaemia ± lipiduria
- Hypercoagulability
- Polyuria
Diagnosis
- Urinalysis: Proteinuria >3.5g/day
- Bloods: Hypoalbuminaemia, dyslipidaemia
- Kidney Biopsy:
- Segmental sclerosis in some glomeruli
- Hyalinosis on light microscopy
Treatment
- Supportive:
- Immunosuppressive:
- Prednisone (in steroid-sensitive or minimal change–like variants)
- Lifestyle:
- Weight loss, especially if obese
Prognosis
- Often poor despite treatment
- 30% → achieve remission
- 50% → progress to CKD
- 20% → rapidly progress to ESRD or RPGN
Complications
- Progression to End-Stage Renal Disease (ESRD)
- Increased thrombotic risk
- Hyperlipidaemia-related vascular disease
- Recurrence post-transplant in 30–50% of cases
Summary – Focal Segmental Glomerulosclerosis
Focal Segmental Glomerulosclerosis (FSGS) is a significant cause of nephrotic syndrome in adults, especially in individuals of African or Latin American descent and those with underlying risk factors such as obesity, HIV, or heroin use. It presents with hallmark features of nephrotic syndrome, including heavy proteinuria, oedema, and hypoalbuminaemia, and carries a poorer prognosis than minimal change disease. Diagnosis is made via renal biopsy showing segmental sclerosis and hyalinosis. Management includes ACE inhibitors, diuretics, and sometimes corticosteroids, though remission rates remain low. For more on related conditions, see our Renal Overview page.