Table of Contents
Overview – Benign Bony Tumours
Benign bony tumours are non-malignant growths within bone that often present in young patients and can be incidentally found on imaging or present with pain or pathological fracture. While they do not metastasise, some benign tumours can still cause significant symptoms due to their location and effect on surrounding bone. This page covers two important examples: osteoid osteoma and simple bone cysts, focusing on clinical presentation, diagnostic imaging, and management.
Osteoid Osteoma
Definition
A small, benign tumour of osteoblast origin, typically affecting the diaphysis of long bones (especially femur and tibia).
Aetiology
- Caused by benign proliferation of osteoblasts
- Most common in young adults
Pathogenesis
- Mild dysplasia of osteoblasts
- Results in a small (<1.5 cm) radiolucent central nidus surrounded by reactive sclerotic bone
Clinical Features
- Severe, intermittent night pain
- Dull, persistent day pain
- Limping and muscle atrophy may occur due to chronic pain
- Most commonly affects the diaphysis of tibia or femur
Diagnosis
- X-ray and CT scan:
- Small, round radiolucent nidus with surrounding sclerosis
- Usually <1.5 cm diameter
Management
- Pain is typically relieved by aspirin or NSAIDs
- Surgical excision if symptomatic
- Alternatively, may be left untreated to spontaneously resolve within ~3 years
Prognosis
- Excellent
- Benign and self-limiting


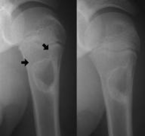
Simple Bone Cyst
Definition
A fluid-filled, benign lesion within the bone — often found incidentally or following a fracture.
Aetiology
- Exact cause unknown
- May be associated with increased PTH → osteoclastic bone resorption → cyst formation
Pathogenesis
- Formation of a straw-coloured fluid-filled cavity within bone
- Commonly occurs in metaphyseal region
Clinical Features
- Often asymptomatic
- May present with:
- Mild pain or swelling
- Pathological fracture through the cyst (e.g. during trauma)
Diagnosis
- X-ray:
- Hollow, radiolucent cavity within metaphysis
Management
- Observation if asymptomatic and non-weight-bearing
- Curettage +/- bone grafting if risk of structural compromise
Prognosis
- Benign
- Generally excellent prognosis


Summary – Benign Bony Tumours
Benign bony tumours such as osteoid osteomas and simple bone cysts are non-malignant skeletal lesions most frequently seen in younger individuals. Osteoid osteomas typically cause nocturnal pain relieved by NSAIDs, while simple bone cysts may remain asymptomatic or lead to pathological fractures. Both are diagnosed radiologically and managed based on symptom severity. For more on orthopaedic lesions and skeletal pathology, see our Musculoskeletal Overview page.