Table of Contents
Overview – Actinic Keratosis
Actinic keratosis (also called solar keratosis) is a common pre-malignant skin lesion caused by chronic exposure to ultraviolet (UV) radiation. It presents as rough, scaly plaques on sun-exposed areas such as the face, forearms, and hands. Actinic keratoses are markers of extensive photodamage and a warning sign for future risk of squamous cell carcinoma. Identifying and treating these lesions early can help prevent malignant transformation, especially in high-risk individuals.
Definition
Actinic keratosis is a pre-cancerous epidermal lesion resulting from chronic sun damage. It is considered part of the spectrum of UV-induced skin injury and may progress to invasive squamous cell carcinoma if left untreated.
Aetiology
- Chronic UV radiation exposure (natural sunlight or artificial sources)
- Risk increases with:
- Fair skin types (Fitzpatrick I & II)
- Older age
- Outdoor occupations
- Immunosuppression (e.g. organ transplant recipients)
Pathogenesis
- UV exposure → DNA damage in keratinocytes
- Accumulation of genetic mutations leads to keratinocyte dysplasia
- Progresses through stages of hyperplasia, dysplasia, and potentially carcinoma in situ
- Commonly coexists with other photodamage features (wrinkling, pigmentation changes)
Morphology
Gross
- Red, tan, or skin-coloured plaques
- Irregular borders
- Rough, scaly or crusted surface
- Hyperkeratosis, sometimes inflamed or ulcerated


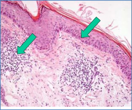
Microscopic
- Epidermal dysplasia (nuclear pleomorphism, large irregular nuclei)
- Parakeratosis and hyperkeratosis
- Loss of rete ridges and papillary dermis flattening
- Epidermal atrophy
- Chronic inflammatory infiltrate
- Abnormal dermal collagen arrangement




Clinical Features
- Most common on sun-exposed areas: face, ears, scalp (in balding men), forearms, and backs of hands
- Early sign: freckling and irregular pigmentation
- Lesions may be tender or asymptomatic
- Lesions are not cancerous, but indicate increased skin cancer risk (especially SCC and melanoma)
- Often multiple lesions present in areas of field cancerisation
Management
- Cryotherapy (liquid nitrogen): common, effective for isolated lesions
- Topical treatments:
- Imiquimod cream (immunomodulatory agent)
- 5-Fluorouracil cream
- Curettage and electrocautery: for thicker lesions
- Shave excision or full excision if suspicious for carcinoma
- Sun protection education and regular skin checks are essential to prevent progression and recurrence
Summary – Actinic Keratosis
Actinic keratosis is a common, pre-cancerous lesion caused by chronic UV exposure. It typically appears as rough, scaly plaques on sun-exposed skin and represents a marker of cumulative photodamage. Timely diagnosis and management are essential to prevent progression to squamous cell carcinoma. For more dermatological conditions and preventative strategies, see our Skin & Dermatology Overview page.