Table of Contents
Overview – Severe Acute Respiratory Syndrome
Severe Acute Respiratory Syndrome (SARS) is a viral respiratory illness caused by SARS-associated coronaviruses, known for triggering rapidly progressive atypical pneumonia and respiratory failure. First emerging in the early 2000s, SARS and its related coronaviruses, including MERS, raised global concerns due to their high transmission rates and potential for severe complications. Although rare today, SARS remains a significant public health and clinical reference point in viral respiratory pathology.
Definition
A form of rapidly progressing viral pneumonia caused by coronaviruses, including SARS-CoV and MERS-CoV, transmitted via respiratory droplets.
Aetiology
- SARS-associated coronavirus (SARS-CoV)
- MERS-associated coronavirus (MERS-CoV)
- Zoonotic origin; human-to-human spread via droplets and close contact
- Incubation period: 2–7 days
Pathophysiology
- Droplet-based transmission → infection of lower respiratory tract
- Viral replication in alveolar cells causes:
- Atypical pneumonia
- Inflammatory damage
- Respiratory distress syndrome
- In severe cases, multi-organ involvement may occur
Clinical Features
Early (Non-Specific)
- Fever, chills, malaise
- Headache, myalgia
- Sore throat, dry or productive cough
Progression
- Some patients worsen after 4–7 days with:
- Persistent high fever
- Shortness of breath (↑SOB)
- Oxygen desaturation
- Respiratory failure may require mechanical ventilation and ICU care
Complications
- Acute Respiratory Distress Syndrome (ARDS)
- Liver failure
- Cardiac involvement/failure
- Sepsis or secondary bacterial infections
Investigations
- Clinical suspicion based on symptoms + travel or contact history
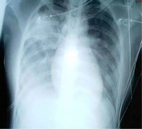
- CXR: Bilateral infiltrates, features of atypical pneumonia
- Bloods:
- ↑ CRP
- ↑ LDH
- Lymphopenia, neutrophilia
- RT-PCR: Blood, sputum, NPA, or swabs
- Serology: ELISA-based antibody detection
- RAT: Rapid antigen test (for early screening, lower sensitivity)


Diagnosis
- Confirmed via RT-PCR and/or serology in the setting of compatible clinical syndrome and epidemiological risk (e.g. travel, contact with suspected case)
Management
- Public health priority – strict infection control
- Quarantine in negative-pressure rooms
- Full PPE: N95 mask, gloves, gown, eye protection
- Supportive care: O2 therapy, fluids, antipyretics
- Ventilatory support for respiratory failure
- Antivirals: Ribavirin (limited evidence, use guided by local protocols)
- Steroids: May reduce immune-mediated lung damage (e.g. dexamethasone)
- Close monitoring for complications and ICU escalation
Summary – Severe Acute Respiratory Syndrome
SARS is a droplet-transmitted coronavirus illness marked by rapidly progressive pneumonia and potential respiratory failure. Clinical vigilance, early isolation, and supportive care are essential, with PCR and serology aiding in diagnosis. Though rare today, it remains a benchmark for outbreak preparedness. For broader context, visit our Respiratory Overview page.