Table of Contents
Overview – Chronic Myeloid Leukaemia
Chronic Myeloid Leukaemia (CML) is a myeloproliferative neoplasm characterised by uncontrolled proliferation of myeloid cells, commonly associated with the Philadelphia chromosome. While often asymptomatic in the early chronic phase, CML can evolve into a blast crisis resembling acute leukaemia. Early detection and targeted therapy have significantly improved survival.
Definition
- A clonal haematopoietic stem cell disorder marked by:
- Uncontrolled myeloid proliferation
- Presence of the Philadelphia chromosome (t(9;22)) in >80% of cases
- Characterised by three progressive phases
Aetiology
- Philadelphia chromosome:
- Translocation t(9;22)(q34;q11)
- Produces BCR-ABL fusion gene
- Results in constitutive tyrosine kinase activity → cell proliferation
Pathophysiology
- Unregulated proliferation of myeloid precursors in bone marrow and blood
- Accumulation of immature granulocytes:
- Neutrophils
- Basophils
- Eosinophils
- Bone marrow becomes hypercellular → eventual bone marrow failure
- Urate production increases due to cell turnover → risk of gout
Phases of CML
1. Chronic Phase
- May last several years
- Often asymptomatic or with mild symptoms
- Detected on routine blood tests
2. Accelerated Phase
- Disease progression
- ↑ Splenomegaly
- Fever, weight loss, increasing anaemia
- Warns of impending blast crisis
3. Blast Crisis
- Transforms into an acute leukaemia
- Rapid progression, very poor prognosis
- Features:
- Sepsis, bleeding
- Requires urgent bone marrow transplant
Clinical Features
- Demographics: Middle-aged adults (40–60 years)
- Symptoms:
- Often asymptomatic initially
- General malaise, fatigue, weight loss, fever
- Anaemia symptoms: dyspnoea, pallor
- Abdominal discomfort (from splenomegaly)
- Gout (due to hyperuricaemia)
- Signs:
- Splenomegaly (>75%)
- Bruising (from thrombocytopenia)
- Anaemia
Investigations
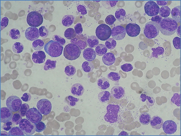
- FBC + Blood Film:
- Marked leukocytosis with all stages of myeloid lineage
- Anaemia
- Variable platelet count
- Bone Marrow Biopsy:
- Hypercellularity
- Increased myeloid:erythroid ratio
- Cytogenetics:
- Philadelphia chromosome (BCR-ABL)
- Confirmed via FISH or PCR testing


Management
- Chronic Phase:
- Imatinib (Glivec) – a tyrosine kinase inhibitor targeting BCR-ABL
- Excellent prognosis with compliance
- Blast Crisis:
- Behaves like acute leukaemia
- Requires urgent bone marrow (stem cell) transplant
- Supportive:
- Allopurinol or rasburicase for hyperuricaemia
- Transfusions as needed
Summary – Chronic Myeloid Leukaemia
Chronic Myeloid Leukaemia (CML) is a BCR-ABL-driven myeloproliferative disorder often detected in its chronic phase. It progresses through an accelerated phase to a potentially fatal blast crisis if untreated. Early diagnosis and treatment with tyrosine kinase inhibitors like imatinib dramatically improve survival. For more on blood disorders, visit our Blood & Haematology Overview page.