Table of Contents
Overview – Chronic Lymphocytic Leukaemia
Chronic Lymphocytic Leukaemia (CLL) is the most common type of leukaemia in adults, typically affecting those over 50. It is a slow-growing malignancy of mature but dysfunctional B-cells, often diagnosed incidentally. While not curable, CLL is generally indolent and has a favourable prognosis unless symptoms significantly impact quality of life.
Definition
- A malignancy of neoplastic, mature, poorly-functioning B-lymphocytes
- Characterised by accumulation of monoclonal B-cells in blood, bone marrow, and lymphoid tissues
- Chronic course with slow progression
Aetiology
- Acquired genetic mutations over time
- Specific mutations in genes such as TP53, NOTCH1, or deletions (e.g. del13q, del17p) are common
- Risk factors:
- Male sex
- Increasing age
- Family history
Pathophysiology
- Overproduction of clonal B-cells that:
- Appear mature but function poorly
- Cannot effectively mount immune responses
- Gradual accumulation in the bone marrow and lymphoid tissues
- Bone marrow failure occurs slowly over time
- Increased susceptibility to infection and autoimmune cytopenias
Clinical Features
- Demographics:
- Peak incidence: 50–70 years
- More common in males
- Symptoms:
- Often asymptomatic (≈60%) – found on routine blood tests
- If symptomatic:
- Fatigue, weight loss, night sweats, anorexia
- Recurrent infections
- Anaemia, bruising
- Signs:
- Lymphadenopathy – typically cervical, firm, non-tender nodes
- Splenomegaly ± hepatomegaly
- Pallor or petechiae in advanced stages
Investigations
- FBC:
- Marked lymphocytosis
- Anaemia, thrombocytopenia, neutropenia in late stages
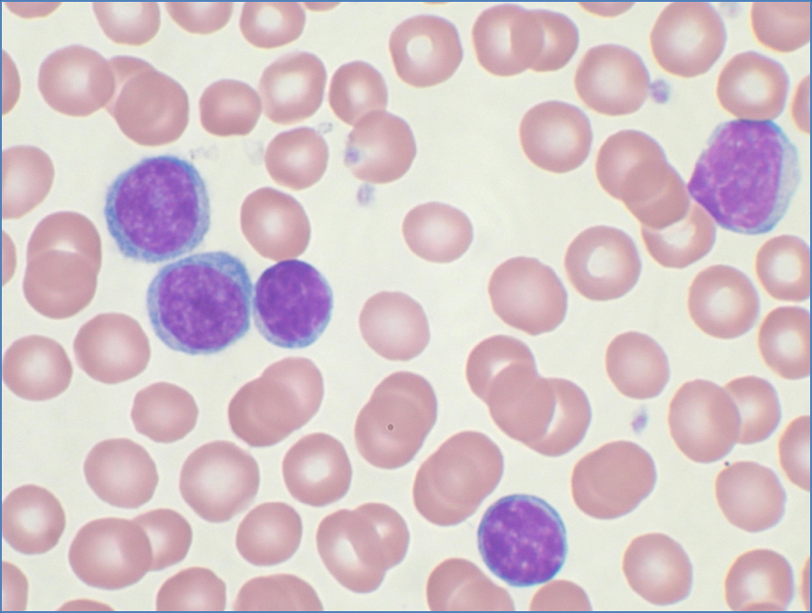
- Blood film:
- Small mature lymphocytes with scant cytoplasm
- Smudge cells (fragile lymphocytes)
- Immunophenotyping (Flow Cytometry):
- Monoclonal B-cells expressing CD5, CD19, CD23
- Bone marrow biopsy:
- Not usually required unless diagnostic uncertainty or for staging

Management
- Early-stage CLL (asymptomatic):
- Watch and wait
- No treatment unless symptoms develop
- Symptomatic or late-stage CLL:
- IV Immunoglobulins for recurrent infections
- Chemotherapy (e.g. fludarabine, cyclophosphamide, rituximab)
- Targeted therapy: BTK inhibitors (e.g. ibrutinib), venetoclax
- Stem cell transplant: potential curative therapy in select patients
- Supportive care: manage anaemia, infection prevention
Prognosis
- Median survival: ~9 years
- Better prognosis with del13q mutation
- Poorer prognosis with del17p or TP53 mutation
- Death usually from infection, not leukaemic progression
Summary – Chronic Lymphocytic Leukaemia
Chronic Lymphocytic Leukaemia (CLL) is a slow-progressing B-cell malignancy, commonly diagnosed in elderly adults. Many cases are asymptomatic at diagnosis. Treatment is only required when symptoms arise or quality of life is compromised. Management focuses on infection control and palliative chemotherapy. For more haematological conditions, visit our Blood & Haematology Overview page.